- HOME
- 網膜硝子体手術
硝子体手術とは

目の硝子体と呼ばれるゼリー状の組織を除去し、網膜硝子体の病気を治す手術です。ガムをティッシュペーパーからはがすようなイメージの、とても繊細で難しい手術に分類されます。当院では局所麻酔で行い、手術時間は平均1時間から2時間以上に及ぶこともあります。
手術対象となる主な疾患
- ※その他(硝子体出血、黄斑牽引、眼内レンズ脱臼など)
これらの疾患は、硝子体手術によって治療できるとされていますが、硝子体手術にはリスクも伴うため、医師とよく相談することが重要です。
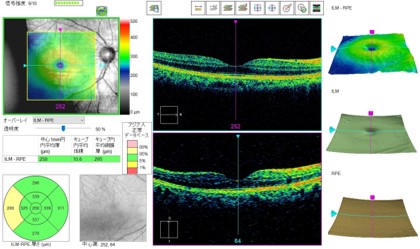
黄斑前膜(黄斑上膜)とは
- 網膜の中心部である黄斑部に薄いセロファン状の膜が生じる疾患です。
- 原因はさまざまですが、最も多い原因は加齢に伴うことが多く、この場合進行は比較的に緩やかな場合が多いです。
- その他、外傷・ぶどう膜炎等眼内の炎症が原因で発症する場合もあります。
黄斑前膜(黄斑上膜)の主な症状
初期段階では自覚症状がない場合が多いです。
- 視力低下:中心視力がぼやけたり、はっきりと見えなくなったりします。
- 変視症(物の歪み):直線が曲がって見えたり、物がゆがんで見えたりします。これは膜が収縮して網膜にしわを作るためです。
- 視界のかすみ・ぼやけ:全体的に視界が曇って見えたり、ぼやけたりします。
- 二重に見える(複視):片方の目で見ても、物が二重に見えることがあります。ただし、この症状は比較的少ないです。
- 物が大きく見える(大視症):物が実際よりも大きく見えることもあります。
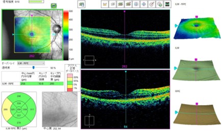
黄斑円孔とは
- 網膜の中心部である黄斑部に孔が生じる疾患です。
- はっきりとした原因は不明ですが、眼内のゼリー状の組織の硝子体と網膜の癒着が強いと、黄斑部が硝子体に引っ張られて黄斑部に孔が生じます。
- その他、外傷・強度近視に伴うものが原因で発症する場合もあります。
黄斑円孔の主な症状
- 視力低下:急激に視力が悪くなることがあります。
- 変視(変視症):まっすぐな線が波打つように見えたり、物が歪んで見えたりします。
- 中心暗点:見ようとする中心部が暗く見えたり、欠けたりします。
- 物体の色の違い:左右の目で見たときに、色の見え方が異なることがあります。
- 小視症:物が小さく見えることがあります。
網膜剥離とは
- 眼球内の光を生じる組織を網膜と呼びます。
- 網膜に孔が開いてしまい、眼球内の硝子体(眼球内にある水)が、開いてしまった孔を通って網膜の下に入り込むことで生じる病態です。
- 網膜に亀裂や裂孔が生じる原因の多くは加齢性変化に伴うものですが、先天的に網膜に弱い部分があったり、強度近視、アトピー性皮膚炎・外傷等があります。
正常眼底
網膜剥離眼底
網膜剥離の主な症状
- 飛蚊症:目の前に蚊や糸くずのような黒い点や影がフワフワと、ちらついて見える。
- 光視症:目を閉じていても、稲妻のような光が走ったり、チカチカしたりして見える。
- 視野の欠損:視野の一部が暗くなったり、カーテンが降りてきたように見えたりする。
- 物が歪んで見える:視界のものが歪んで見える(変視症)。
- 視力低下:視力が急激に低下する。特に、網膜の中心部である黄斑部が剥離すると顕著になる。
増殖糖尿病網膜症とは
糖尿病網膜症は網膜(光を感じるフィルムの役割)を栄養する毛細血管に障害を起こす病気です。血管障害が進行すると網膜は虚血(きょけつ、血流不足)となり、新生血管という未熟な血管が生えます。これ以降の病期を増殖糖尿病網膜症と呼びます。
進行した糖尿病網膜症の重症な段階であるといえます。
正常眼底
増殖糖尿病網膜眼底
増殖糖尿病網膜症の主な症状
- 飛蚊症:新生血管から硝子体に出血が起こることで、墨汁を垂らしたような黒い影やゴミが飛んでいるように見えます。
- 硝子体出血:出血量が多い場合は、視界全体がカーテンに覆われたように真っ赤に見えたり、突然何も見えなくなったりします。
- 視力低下:出血や、網膜剥離、黄斑浮腫などによって、徐々に、または急激に視力が低下します。
- 網膜剥離:異常な血管が新生した膜が網膜を引っ張り、網膜剥離(牽引性網膜剥離)を起こすことがあります。
- 新生血管緑内障:新生血管が目の排水路を塞ぎ眼圧が上昇して緑内障を引き起こすことがあります。
手術後について
- 手術後は網膜の接着が確認されるまで安静が必要です。1週間以内は週2~3回、その後週1、2回、術後1ヶ月以降は1ヶ月ごとの通院となりますが、術後の経過は個人差がありますので、主治医の指示に従ってください。
- 黄斑部がすでに剥離し、視力低下があった場合には、術後に網膜の再接着が得られても、視力の改善には半年から1年と長期間かかります。最終的に視力が元通りに回復しない場合があります。また、網膜にわずかなシワが残り、変視症(物がゆがんでみえる症状)となる可能性もあります。
- 必要に応じて眼内にシリコンオイルやガスを入れる場合があり、うつむきや横向きなど、姿勢の制限がつきます。
- ガスの場合は、飛行機など気圧の低い場所に行くと、眼内のガスが膨張し眼圧が極端に高くなる危険がありますので、注意が必要です。術後に飛行機に乗る可能性のある方は、主治医に相談してください。
- シリコンオイルの場合は術後の経過を診て、オイル抜去を行います。その際も硝子体手術となりますので、術後の安静が必要となります。ただしシリコンオイルを抜去後、網膜剥離が再発するなど網膜の状態が重篤な場合は、シリコンオイルを再注入することがあります。
